




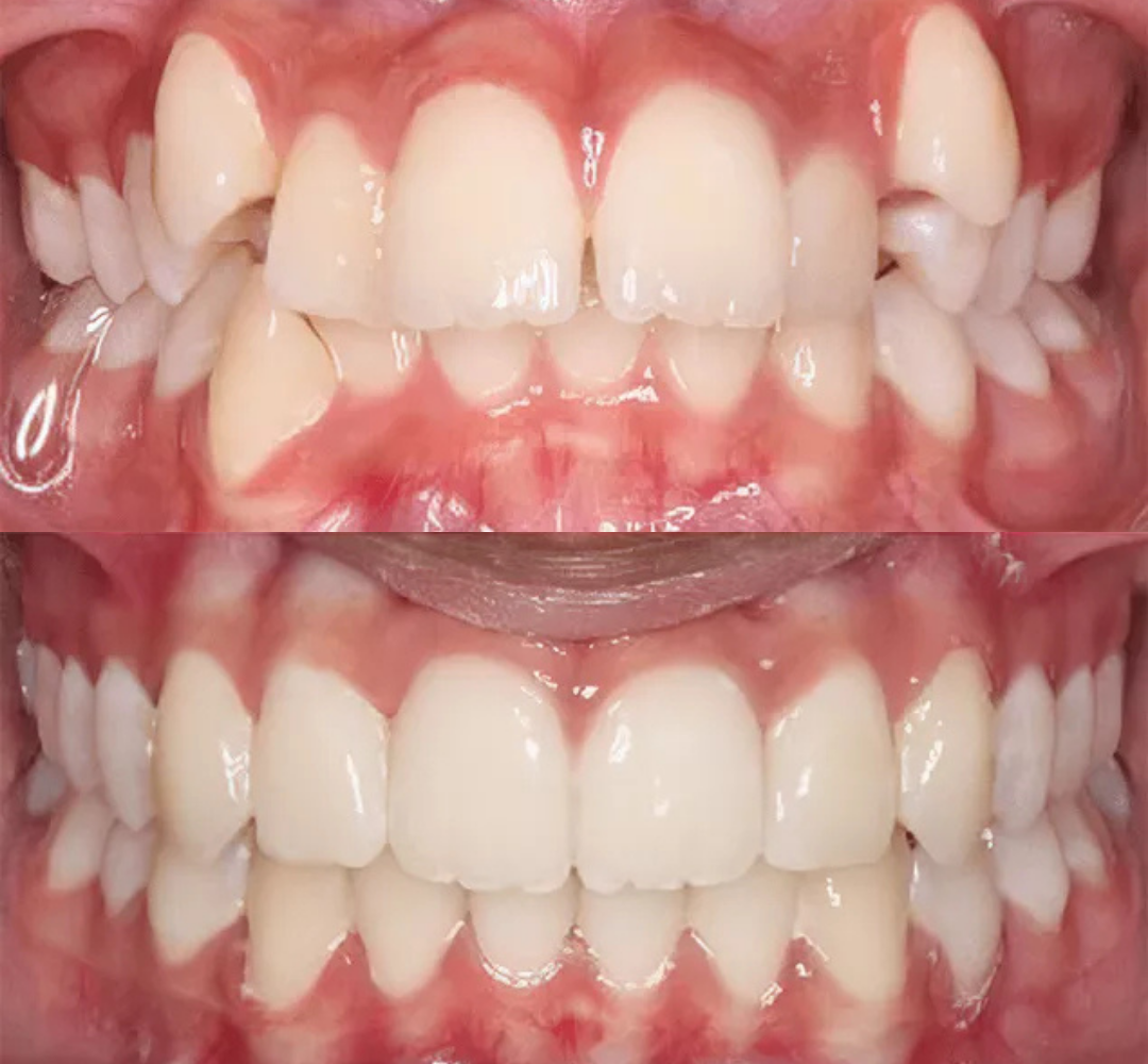
O Spark é fabricado com o material TruGEN™, que oferece mais transparência, resistência e conforto que outras marcas. Além disso, o planejamento digital é extremamente preciso, o que reduz o tempo de tratamento e aumenta a previsibilidade do resultado.
A duração depende da complexidade do caso, mas a maioria dos tratamentos leva de 6 a 18 meses. Durante a avaliação, o ortodontista faz um escaneamento digital e apresenta um plano mostrando a previsão de resultado e o tempo estimado para conclusão.
Não. O Spark é feito com um material exclusivo (TruGEN™) que oferece mais conforto que aparelhos tradicionais. É normal sentir uma leve pressão nos primeiros dias de cada troca de alinhador, sinal de que o tratamento está funcionando.
Não. As consultas são rápidas e geralmente ocorrem a cada 6 a 8 semanas, apenas para acompanhar o progresso e entregar os próximos alinhadores. Menos tempo na cadeira do dentista e mais praticidade para o seu dia a dia.